W codziennych kontaktach międzyludzkich bardzo często dochodzi do nieporozumień i różnicy zdań. Ta wydawałoby się naturalna rzecz, jest często powodem agresywnych zachowań. Jedna strona próbuje udowodnić drugiej swoją wyższość, a w przypadku młodych ludzi, jest to często chęć popisania się przed kolegami.
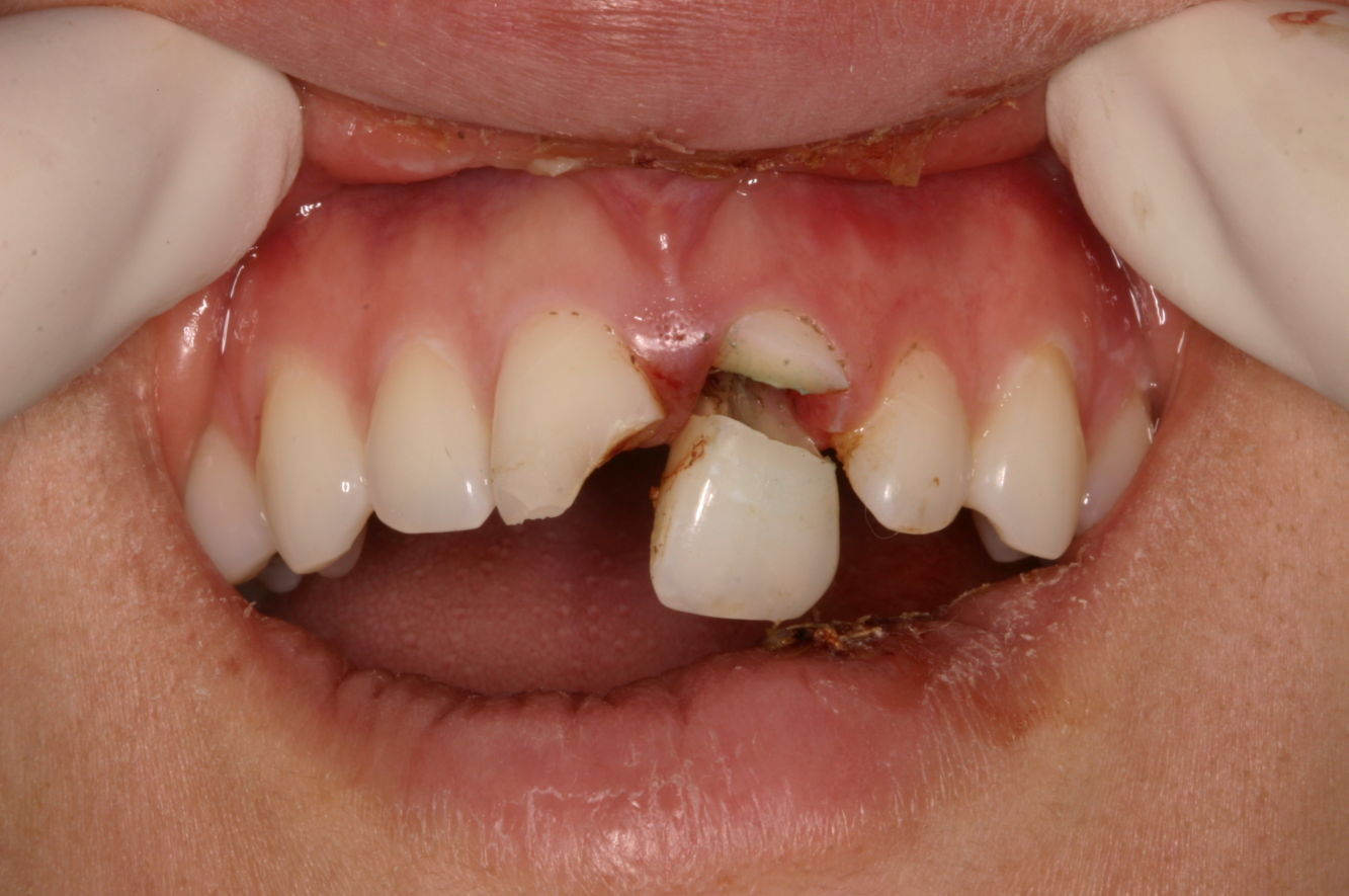
O tym, że siłowe rozwiązywanie problemów nikomu nie wychodzi na dobre, przekonał się 15-latek, który pobił swojego rówieśnika. Powodem miało być, niczym nie poparte, nieporozumienie pomiędzy jego koleżanką a pokrzywdzonym. Być może chłopak chciał w ten sposób zaimponować dziewczynie, ale narobił sobie niepotrzebnych kłopotów. Uderzając rówieśnika w twarz wybił mu dwa zęby.
Naturalnie nie jest to żaden powód do dumy. 15-latek za uszkodzenie ciała odpowie przed Sądem Rodzinnym. Nie wykluczone też, że jego rodzice zostaną obciążeni kosztami związanymi z leczeniem i odszkodowaniem.





